
Wada serca i skolioza – Iga walczy o młodość!
Cel zbiórki: Rehabilitacja, sprzęt medyczny
Wpłać, wysyłając SMS
Przekaż 1,5% podatku
Przekaż 1,5% podatku
Stała pomoc
Tu może pojawić się Twoja Stała Pomoc.
Wspieraj co miesiącCel zbiórki: Rehabilitacja, sprzęt medyczny
Opis zbiórki
Z zewnątrz może się wydawać, że mam to, czego w życiu potrzeba: rodzinę, przyjaciół, marzenia. Jednak uwierz mi – bez zdrowia wszystko staje się mdłe. Kilka miesięcy po urodzeniu zdiagnozowano w moim sercu kanał przedsionkowo komorowy.
Jest to rzadka wada kardiologiczna, stanowi ok. 5% wszystkich wad. Polega na niedorozwoju przegrody międzykomorowej i międzyprzedsionkowej, przez co krew natlenowana i odtlenowana mieszają się ze sobą, a to prowadzi do niewydolności krążenia.
W 6. miesiącu życia przeszłam w szpitalu w swoją pierwszą operację. Po 6. latach kolejną. Starałam się żyć jak inne dzieci, ale niestety częste infekcje sprawiły, że dzieciństwo wspominam jako siedzenie na przemian w szpitalu i w domu.
W wieku 13 lat rozpoznano u mnie skoliozę. Skolioza idiopatyczna to rozwojowe zniekształcenie kręgosłupa i tułowia w trzech płaszczyznach: strzałkowej, czołowej i poprzecznej. Wtedy skrzywienie było jeszcze nieznaczne, więc staraliśmy się naprawić to ćwiczeniami i rehabilitacją, która jak się domyślasz, nie była za darmo. Chorowanie pochłania mnóstwo pieniędzy. Rodzice robili, co mogli, aby mi pomóc a ja ćwiczyłam codziennie nad swoim kręgosłupem. Niestety wada z roku na rok się pogłębiała.

Dostaliśmy kolejną złą informację. Zastawka mitralna serca nie działa tak, jak powinna, wyniki są coraz gorsze. Potrzebna kolejna operacja serca. W 2019 roku stałam się posiadaczką sztucznej zastawki serca, której żywotność wynosi około 10 lat. W przyszłości potrzebna będzie kolejnej operacja, aby ją wymienić. Jakby tego było mało, pojawiło się powikłanie pooperacyjne – elektryka serca nie działała, nie jest w stanie bić już samodzielnie. Zapadła kolejna decyzja – potrzebny rozrusznik serca. Żyję więc z nim od tamtej pory i będę od niego zależna już do końca życia.
Kiedy z lekarzami zajmowaliśmy się sercem, kręgosłup tylko czekał, żeby zaatakować. Z 15 stopni skrzywienia zrobiło się 40, a w końcu 60 stopni skrzywienia w odcinku piersiowym. Pojawił się garb, a wraz z nim problemy z oddychaniem. Zniekształcenia klatki piersiowej spowodowały ucisk na płuca. Ból pleców stał się nie do zniesienia.
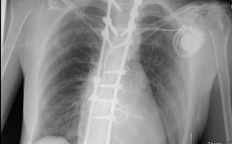
Zaczęłam szukać ortopedy, który naprawi moje plecy, a przy okazji nie uszkodzi już schorowanego serca. W styczniu 2023 roku przeszłam operację stabilizacji kręgosłupa. Do mojej kolekcji implantów dołączyły 2 długie pręty, kilkanaście śrub oraz trochę drutu. Wszystkie te elementy możesz dostrzec na moim zdjęciu rentgenowskim.

Teraz najważniejsze jest dla mnie dojście do siebie i skuteczna rehabilitacja oraz nauka. Studiuję na uniwersytecie medycznym na kierunku lekarskim. Do końca zostały mi 3 lata studiów. Moje największe marzenie, od kiedy byłam dzieckiem to zostać lekarką. Jak widzisz, różni lekarze pomagają mi, odkąd się urodziłam, więc ja też chcę pomagać innym. Odwdzięczyć się światu za pomoc, jaka została mi udzielona.
Jestem na jak najlepszej drodze, aby tego dokonać. Muszę tylko wytrzymać jeszcze trochę. Po operacji potrzebna mi rehabilitacja, abym jak najszybciej doszła do pełnej sprawności. Będzie ona trwała długo i wymagała ode mnie dużo pracy, ale jestem na to gotowa. Niestety taka wielomiesięczna rehabilitacja sporo kosztuje, potrzebuję też specjalistycznego sprzętu codziennego użytku, który ułatwi mi codzienne wykonywanie podstawowych czynności.

Proszę Cię o pomoc finansową. Odpowiednio dostosowane meble między innymi fotel ortopedyczny umożliwiłyby mi normalne życie. Potrzebuję też środków na leki, które przyjmuję na stałe oraz na opłacenie konsultacji lekarskich. Głęboko wierzę, że uda mi się spełnić moje marzenie i prowadzić normalne życie, więc jeżeli możesz mnie wesprzeć, będę Ci bardzo wdzięczna.
Możesz mnie wesprzeć poprzez wpłacenie środków na moją zbiórkę lub przekazać na mnie 1,5% podatku podając numer KRS fundacji oraz mój numer i imię w rubryce “cel szczegółowy”.
Dziękuję za wszystko!
Ingrid
- Wpłata anonimowa50 zł
Walcz dziewczyno
- Włodek20 zł
Powodzenia
- 200 zł
- Wpłata anonimowa200 zł
- Wpłata anonimowa50 zł
- Wpłata anonimowa20 zł
Powodzenia!