
Największe marzenie - dożyć jutra...
Cel zbiórki: Protonoterapia w Czechach - ostatnia szansa na pokonanie raka
Cel zbiórki: Protonoterapia w Czechach - ostatnia szansa na pokonanie raka
Aktualizacje
Dziękujemy!
Choć mieliśmy bardzo mało czasu to po raz kolejny pokazaliście, że to nie jest dla Was żadna przeszkoda. W ekspresowym tempie zebraliście pieniądze na leczenie Pauliny. Dzięki Wam już wkrótce przejdzie terapie protonową w Czechach, ale to dopiero początek jej drogi ku zdrowiu. Ze względu na to, że koszty leczenia mogą jeszcze wzrosnąć, na prośbę rodziny zbiórka pozostanie jeszcze przez pewien czas otwarta.
Opis zbiórki
Czy wiesz, jak to jest budzić się każdego dnia ze świadomością, że umierasz? Nie wiedzieć, ile czasu da Ci jeszcze rak? Czy wiesz, jak to jest nie móc niczego zaplanować, bo jedynym planem, jaki możesz sobie założyć, jest przeżycie kolejnego dnia, tygodnia, miesiąca? Czy wiesz, jak trudno żyć z wyrokiem śmierci? Ja wiem…
Prawdopodobnie nigdy nie ma dobrego momentu na to, by zachorować, ale z tych wszystkich złych momentów ja zachorowałam w najgorszym. Miałam wtedy 23 lata. To był środek studiów. Miałam setki planów i marzeń. Chciałam zostać nauczycielką, założyć rodzinę. Widziałam to oczyma wyobraźni i byłam pewna, że się uda. Ludzie dookoła powtarzali mi, że mam świat u stóp. Przecież jestem młoda, silna i zdrowa. Rak mi to wszystko zabrał. Zdrowie okazało się tylko złudzeniem, sił szybko zaczęło brakować, a młodość zaczęła przypominać jesień życia...

Mam dopiero 30 lat. Od 8 żyję z tykającą bombą w moje głowie, choć tak naprawdę trudno jednoznacznie określić, kiedy dokładnie nowotwór zaczął atakować mój mózg, bo bóle głowy i nudności pojawiły się już wcześniej. Przyzwyczaiłam się od nich. Nauczyłam się z nimi żyć. Brałam tabletki i zapominałam. Czasami zapadałam się w sobie, przestawałam reagować na bodźce, czułam, że jestem gdzieś w obcym ciele. Kiedy dochodziłam do siebie, nie potrafiłam opowiedzieć, co się ze mną działo. Dopiero później dowiedziałam się, że były to spowodowane guzem bezobjawowe ataki padaczki. Lekarze mówili mi, że to minie, że nie mam się czym przejmować. Od wszystkich słyszałam, że to dlatego, że tak dużo się uczę, że jestem przemęczona. Jak wygodnie było wierzyć mi w te bzdury…
W 2009 roku zupełnie nagle straciłam wzrok. Tak jakby w ciemną noc ktoś zgasił światło. Rękami dotknęłam twarzy, próbowałam pocierać oczy… Serce biło mi jak oszalałe, a z gardła wydobywało się rozpaczliwe wołanie o pomoc. Nie wiedziałam, co się dzieję, bałam się, że umieram, że właśnie tak wygląda śmierć. Trafiłam do szpitala. Nic nie widziałam, ale czułam ten specyficzny zapach mieszaniny leków i środków do dezynfekcji. Zapach, którym pachnie każdy szpital na świecie. Zapach cierpienia i śmierci. Zapach, którym przez lata tak przesiąkłam, że wciąż czuję go na swoich ubraniach i swojej skórze.

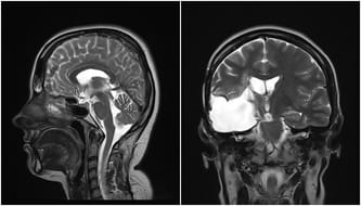
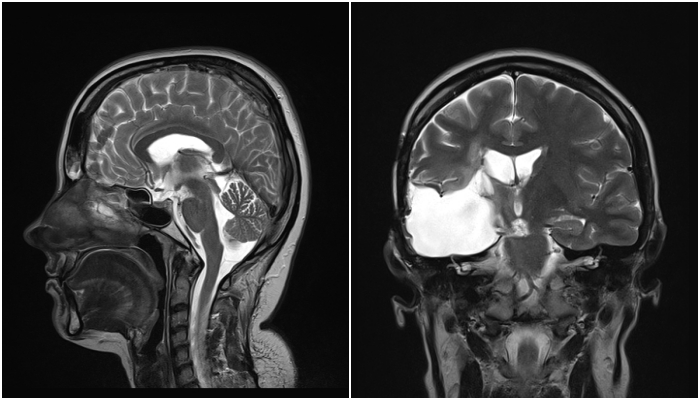
Lekarze wykonali mi tomografię komputerową. Na moim mózgu wyrósł olbrzymi guz. To on, a nie zmęczenie, był przyczyną wszystkich bólów głowy. Kiedy usłyszałam, że mam raka, tę najstraszniejszą z chorób, której sama nazwa wzbudza lęk, próbowałam to wszystko wyprzeć. Myślałam, że to tylko zły sen, że zaraz się obudzę. Przecież takie rzeczy się nie zdarzają, nie tak młodym ludziom, nie mnie… Pamiętam nerwowe szepty lekarzy, szloch mamy i zapadające jedna po drugiej decyzję. Czułam, że gdzieś na szali waży się moje życie, a ja na nic nie mam wpływu. Zdecydowano, że trzeba natychmiast mnie operować, a rodzicom nie pozostawiono żadnych złudzeń. Miałam żyć jeszcze maksymalnie pół roku…
Guza udało się wyciąć, ale nie w całość. Na zabieg wycięcia pozostałych fragmentów musiałam udać się do Bydgoszczy. Wbrew przewidywaniom lekarzy mój stan się poprawiał. Ponownie widziałam, czułam się dobrze i byłam dobrej myśli. Rodzice i przyjaciele zwracali uwagę na to, że wrócił mój dawny optymizm, który zniknął wraz z początkiem choroby. Operację w Bydgoszczy traktowałam jako formalność, tak jakbym zapomniała, jak niebezpieczny jest to zabieg, że liczyć będą się tu części milimetra, a konsekwencje mogą być trudne do przewidzenia…

Po zabiegu obudziłam się z zupełnie sparaliżowaną lewą stroną ciała. Nie mogłam wstać, nie mogłam sama zjeść. Najgorsza była moja twarz, która zastygła w jakimś potwornym grymasie. W jednej chwili straciłam sprawność i urodę. Teraz, kiedy wszystko miało iść ku lepszemu, ponownie zawalił się mój świat. Gdy po raz pierwszy posadzono mnie na wózek, nie byłam w stanie powstrzymać łez. Przecież to nie tak miało być! Miało być już dobrze, miałam być zdrowa. Zamiast tego spotkało mnie kalectwo, a wraz z nią pojawiła się depresja. Chciałam się poddać, nie miałam już sił. Tylko dzięki wsparciu najbliższych udało mi się przetrwać najgorsze.
Mijały tygodnie. Dzięki rehabilitacji ponownie zaczęłam chodzić, odzyskałam czucie w twarzy, ale moja ręka wciąż pozostawała niesprawna. Mimo tego udało mi się wrócić na studia. Wierzyłam, że wszystko jakoś się teraz poukłada. Co pół roku stawiałam się na kontrole. Na każdą szłam z duszą na ramieniu, ale za każdym razem wracałam z dobrymi wynikami. Wierzyłam, że najgorsze mam już za sobą. Dokończyłam studia i zaczęłam się rozglądać za pracą. Wtedy nowotwór zaatakował mnie po raz kolejny.
Wznowa. To słowo, którego boi się każdy, kto zmaga się z rakiem. Ja usłyszałam je dwa razy. Wtedy w 2013 można jeszcze było mnie operować. Ponownie z mojego mózgu wycinano śmiertelnego guza, a razem z nim cząstkę mnie samej, bo od tego momentu zaczęły się moje problemy z pamięcią. Coraz trudniej było mi poukładać myśli, ale żyłam. Tylko, że moje życie wyglądało tak, jakby ktoś kazał mi maszerować po kruchym lodzie. Idziesz do przodu, ale cały czas patrzysz pod nogi i zastanawiasz się kiedy pęknie tafla, na której stoisz. Tafla zaczęła pękać w marcu tego roku. Kolejna wznowa i to milczenie lekarzy na pytanie o operację, bo tym razem operować już się nie da. Guz ulokował się tak blisko pnia mózgu, że żaden chirurg nie zdecyduje się na jego wycięcie. Została mi już tylko jedna metoda - terapia protonowa.

Leczenie protonowe to moja ostatnia nadzieja. Polega na niszczeniu nowotworu za pomocą bardzo precyzyjnej wiązki protonów uderzającej w sam środek guza. Lekarze z czeskiej Pragi dają mi niemal 100% szans na całkowite pozbycie się raka. Terapia jest bardzo nowoczesna, bardzo skuteczna i... bardzo droga, a czasu mam coraz mniej.
Nie wiem, jak bardzo guz urósł od marca. Wiem tylko, że czuję się coraz gorzej. Coraz częściej o czymś zapominam, coraz częściej boli mnie głowa, a choćby najkrótsza rozmowa przez telefon jest dla mnie torturą. Lekarze nie chcą czekać. Nalegają, bym przeszła naświetlanie jak najszybciej, bo każdy kolejny dzień może być dla mnie tym ostatnim. Termin zabiegu wyznaczono mi na 26 czerwca i tylko od Was zależy, czy uda mi się na niego wyjechać. Tylko od Waszych dobrych serc zależy to, czy będę mogła dalej żyć...
Błagam pomóżcie,
Paulina
- Wpłata anonimowa50 zł
- JKRUPA100 zł
- Grzegorz G5,55 zł
Nie trwóż się, nie drzyj Wśród życia dróg, Tu wszystko mija, Trwa tylko Bóg. Cierpliwość przetrwa Dni ziemskich znój, Kto Boga posiadł Ma szczęścia zdrój:
- Monika50 zł
Z Bogiem
- Wpłata anonimowa50 zł
- Wpłata anonimowa100 zł