
Nowy start dla Kingsley'a i trójki jego dzieci
Campaign goal: Środki na rehabilitację Kingsleya i edukację dla jego dzieci z Nigerii
Campaign goal: Środki na rehabilitację Kingsleya i edukację dla jego dzieci z Nigerii
Campaign description
Kingsley Temitope Idiaru to mieszkający i pracujący w Polsce Nigeryjczyk. W przeszłości pracował w nigeryjskiej policji, z pracy musiał jednak zrezygnować po fali zamieszek #EndSarsProtest, gdy każde wyjście do pracy groziło zastrzeleniem na ulicy.
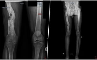
Kingsley 10 lat temu przeżył koszmar, od którego wszystko się zaczęło. Wracał do domu po służbie, w mundurze. Ktoś strzelił do niego od tyłu. Postrzał w prawe udo, strzaskana kość.

W Nigerii nie ma bezpłatnej służby zdrowia, więc rodzina do tej pory spłaca długi za operację...
Kingsley pracował ciężko w polskiej fabryce, by choć trochę spłacić długi. Niestety szybko los ponownie go pokarał. Niedługo po przylocie do Polski ciężko zachorował i niemal zmarł. Znaleziono go nieprzytomnego z bólu, z wysoką gorączką i spuchniętą jak bania nogą.
Lekarze byli zgodni: jedyny ratunk to operacja.

Niestety wszyscy odmawiali leczenia. Ze względu na ryzyko, nie chcieli się podjąć przeprowadzenia operacji. A stan zapalny wciąż się rozwijał. My jednak chcieliśmy uratować mu życie i udało się. Szpital w Otwocku przeprowadził dwie skomplikowane operacje, które zakończyły się sukcesem.
Niestety Kingsley nadal wymaga regularnego leczenia i rehabilitacji, na które wciąż brakuje środków. Pieniędzy brakuje też na utrzymanie.
A to nie koniec... Kingsley ma trójkę dzieci. Bardzo chcemy pokryć koszty ich edukacji, dać im szansę na start w życiu. Te dzieci zasługują na szansę na rozwój, żeby w wieku 10 lat nie musiały w Nigerii pracować np. nosząc cegły na placu budowy...

Czesne i zakup podręczników dla dzieci Kingsley'a to wydatek łącznie ok 10 tysięcy.
Daniel, lat 3 – potrzebuje ok. 3000 zł. uczęszcza do szkoły wstępnej (przedszkole), gdzie dzieci uczą się czytać.
Davidson, lat 7 – potrzebuje ok. 3000 zł. uczęszcza do szkoły podstawowej. Dominion, lat 9 – potrzebuje ok. 3000 zł. uczęszcza do szkoły podstawowej.

Środki zebrane dzięki zbiórce są szansą na nowe życie dla tej rodziny. Szansą na przyszłość dla dzieci Kingsleya, który pracuje tylko na część etatu, a wydatki na leczenie i utrzymanie pochłaniają większość jego pensji. Resztki oszczędności wysyła żonie, która nie pracuje wskutek wysokiego bezrobocia.
Sytuacja rodziny jest bardzo trudna, dlatego liczy się każda kwota!
Dziękujemy za Wasze wsparcie!