Fundraiser finished

Operacja jedynym ratunkiem! Maleńka Livia czeka na pomoc...
Fundraiser goal: Konsultacje i operacja nóżki w Paley European Institute, rehabilitacja
Fundraiser organizer:
Livia Mirkiewicz, 6 years old
Golina, wielkopolskie
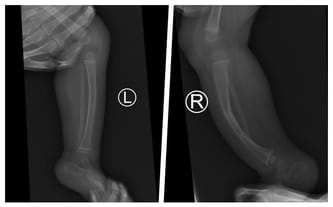
Wrodzony staw rzekomy goleni
Starts on: 16 March 2020
Ends on: 18 October 2020
PLN 377,321(100.91%)
Donated by 1051 people
Pledge 1.5% of tax
Pledge 1.5% of tax
KRS0000396361 Fundacja Siepomaga
Purpose of 1.5% of tax0064642 Livia
Fundraiser goal: Konsultacje i operacja nóżki w Paley European Institute, rehabilitacja
Fundraiser organizer:
Livia Mirkiewicz, 6 years old
Golina, wielkopolskie
Wrodzony staw rzekomy goleni
Starts on: 16 March 2020
Ends on: 18 October 2020
Fundraiser result
Już po operacji! 22 października o godzinie 11:00 Livia pojechała na salę operacyjną. Był strach i łzy, jednak to wszystko przebijała radość!
Niezwykły team lekarzy: dr Paley, dr Albrewczyński i dr Daszczyński stworzyli Livii nową nóżkę!
To dzięki Wam moja córeczka dostała szansę na normalne życie, to dzięki Wam przejdzie to życie na swoich nóżkach!
Ale gdyby nie Wy, nie byłoby nas tutaj!
Dziękuję!
Kinga Mirkiewicz - Mama Livii




