Zbiórka zakończona

Okrutny los ciągle rzuca kłody pod nogi naszego syna! POMOCY!
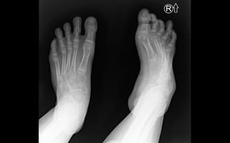
Cel zbiórki: Operacja ortopedyczna w Paley European Institute
Zgłaszający zbiórkę:
Bartek Boruszak, 14 lat
Gdańsk, pomorskie
Mózgowe porażenie dziecięce, stan po selektywnej rizotomii grzbietowej, niedowład spastyczny kończyn dolnych, mukowiscydoza
Rozpoczęcie: 6 września 2024
Zakończenie: 5 grudnia 2024
87 335 zł(100,11%)
Wsparły 234 osoby
Przekaż 1,5% podatku
Przekaż 1,5% podatku
Numer KRS0000396361 Fundacja Siepomaga
Cel szczegółowy 1,5%0644849 Bartosz
Cel zbiórki: Operacja ortopedyczna w Paley European Institute
Zgłaszający zbiórkę:
Bartek Boruszak, 14 lat
Gdańsk, pomorskie
Mózgowe porażenie dziecięce, stan po selektywnej rizotomii grzbietowej, niedowład spastyczny kończyn dolnych, mukowiscydoza
Rozpoczęcie: 6 września 2024
Zakończenie: 5 grudnia 2024
Rezultat zbiórki
Kochani Darczyńcy – JESTEŚCIE NIESAMOWICI! 💚
Dziękujemy za Waszą pomoc, jesteśmy bardzo wzruszeni, że tak wiele dobrych serc postanowiło wesprzeć naszego synka. To dzięki Wam Bartek otrzymał szansę na przejście operacji ortopedycznej w Paley European Institute!
Trzymajcie za nas kciuki w dalszej walce o przyszłość synka 💚
Rodzice Bartka
- Wpłata anonimowa100 zł
- Wpłata anonimowa57 158 zł
- Wpłata anonimowa250 zł
- Eliza Wilczyńska200 zł
- Wpłata anonimowa500 zł
- 500 zł


