
Kosztowna operacja to dla Filipa szansa na sprawność i życie bez bólu – proszę, pomóż mojemu dziecku!
Cel zbiórki: Operacja w Paley European Institute, leczenie i rehabilitacja
Wpłać, wysyłając SMS
Przekaż 1,5% podatku
Przekaż 1,5% podatku
Cel zbiórki: Operacja w Paley European Institute, leczenie i rehabilitacja
Opis zbiórki
Mój syn Filip od urodzenia zmaga się ze spastycznym czterokończynowym porażeniem mózgowym. Mimo ograniczeń fizycznych nauczył się chodzić z balkonikiem, jeździć na specjalnym rowerze i robić pierwsze samodzielne kroki. Każdy jego postęp był wielką radością i nadzieją na lepsze jutro!
Niestety, życie mojego dziecka znacznie się zmieniło, gdy Filipa zakwalifikowano do operacji biodra. Syn przed zabiegiem przeszedł różne terapie, ale jego stan tylko się pogarszał! W końcu, w 2022 roku przeprowadzono operację, która miała być dla Filipa szansą na lepszą sprawność. Okazała się jednak początkiem nowej walki…

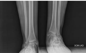
Po zabiegu lewa noga syna skróciła się o 3 cm i została wykręcona do wewnątrz, powodując nieustanne cierpienie i rany. Po pewnym czasie wykonano tomografię, która potwierdziła, że konieczna jest kolejna operacja. Nie chciałam, by Filip znów przechodził podobny zabieg, dlatego postanowiłam poszukać pomocy w innych miejscach.

Nadzieja pojawiła się w klinice Paley European Institute w Warszawie. Specjaliści przygotowali plan naprawczy – usunięcie metalowych implantów, korekcyjną osteotomię, wyrównanie długości kończyn i intensywną rehabilitację. Niestety, refundacja leczenia nie jest możliwa, a koszt zabiegu jest dla mnie nieosiągalny…
Tak bardzo chciałabym, by Filip mógł odzyskać sprawność i życie bez bólu. Zrobię wszystko, by jego codzienność stała się łatwiejsza, ale potrzebuję Waszej pomocy. Każda, nawet najmniejsza wpłata, przybliży mojego syna do dnia, w którym znów będzie mógł samodzielnie stanąć na nogi! Będę wdzięczna za okazaną pomoc!
Weronika, mama Filipa
- Wpłata anonimowa20 zł
Powodzenia!
- Gabriela100 zł
- Wpłata anonimowaX zł
- Wpłata anonimowa2 zł
- Wpłata anonimowaX zł
- Wpłata anonimowa100 zł