
Gang Leosia walczy – dołącz i pomóż w walce o jego nóżkę!
Cel zbiórki: Operacje ortopedyczne, rehabilitacja
Wpłać, wysyłając SMS
Przekaż 1,5% podatku
Przekaż 1,5% podatku
Stała pomoc
6 wspierających co miesiącTu może pojawić się Twoja Stała Pomoc.
Wspieraj co miesiąc- JCwspiera już 10 miesięcy
- Ewa Dawidwspiera już 5 miesięcy
- Martiwspiera już 5 miesięcy
Cel zbiórki: Operacje ortopedyczne, rehabilitacja
Aktualizacje
Mamy ważną aktualizację dotyczącą leczenia Leona. Ogromna kwota za sprawność naszego syna!
23 marca odbyliśmy konsultację z doktorem Paleyem w Paley European Institute w Warszawie. Podczas wizyty potwierdził, że wada Leosia jest bardzo trudnym i rzadkim przypadkiem, co wynika z połączenia dwóch poważnych schorzeń: hemimelii strzałkowej (czyli braku kości strzałkowej, skrócenie kończyny, deformacja stopy) oraz wrodzonego niedorozwoju kości udowej.
Zazwyczaj dzieci zmagają się tylko z jednym z nich, natomiast u Leona występują oba jednocześnie, co sprawia, że leczenie będzie długie i wieloetapowe. Bez operacji różnica w długości nóżek będzie się z czasem pogłębiać i w dorosłym życiu może sięgnąć nawet około 30 cm (!), co znacząco wpłynęłoby na jego sprawność i codzienne funkcjonowanie.

Pierwsza, bardzo skomplikowana operacja („superankle” oraz „super hip/knee”) planowana jest na przełom października i listopada 2026 roku. Jej celem będzie:
- korekcja ustawienia kończyny
- uwolnienie przykurczów w kolanie
- przygotowanie do procesu wydłużania kości oraz pierwsze wydłużanie piszczeliKolejne etapy leczenia (łącznie ok. 4–5 operacji) będą obejmowały dalsze wydłużenia w następnych latach. Koszt pierwszej operacji to ponad 600 000 zł, a przed Leonem jeszcze kilka podobnych zabiegów. To ogromne wyzwanie, ale też jedyna szansa na to, by mógł chodzić, biegać i żyć bez ograniczeń.
Jeśli możesz, prosimy, pomóż nam zawalczyć o przyszłość Leona. Każda złotówka, udostępnienie i dobre słowo mają ogromne znaczenie. Razem możemy dać mu szansę na sprawność i normalne dzieciństwo!
Rodzice
Ważne informacje w sprawie Leosia! Prosimy o dalsze wsparcie!
Pod koniec stycznia byliśmy na kolejnej konsultacji w Paley Institute. Tym razem spotkaliśmy się z innym doktorem, który bardzo dokładnie przeanalizował przypadek Leona. Usłyszeliśmy wprost, że wada naszego synka jest niezwykle rzadka i bardzo skomplikowana. Dlatego nieustannie potrzebujemy Waszego wsparcia i bardzo o niej prosimy!
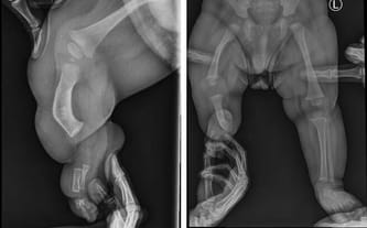
Podczas wizyty wykonano nowe zdjęcia RTG. Na ten moment różnica długości nóżek wynosi już 9,5 cm… To pokazuje, jak dynamicznie postępuje wada i jak pilnie Leon potrzebuje specjalistycznego leczenia.

Wielce prawdopodobne jest, że już podczas pierwszej operacji zapadnie kluczowa decyzja dotycząca dalszego planu działania. Rozważany scenariusz zakłada rozpoczęcie leczenia od operacji typu superankle – w trakcie której lekarze: wzmocnią udo, uwolnią przykurcz w kolanie, ustawią stopę w prawidłowej pozycji.
Po tej operacji Leon będzie miał założony gips na około 3 tygodnie. Następnie planowana jest kolejna operacja – wydłużanie kości piszczelowej. To bardzo poważny i wymagający proces, ale jednocześnie ogromna szansa na sprawność i samodzielność w przyszłości.
Najbliższe tygodnie również będą dla nas intensywne. 23 lutego zaplanowany mamy rezonans w Górnośląskie Centrum Zdrowia Dziecka, a 23 marca czeka nas wizyta u twórcy Paley Institute – światowej sławy specjalisty, dr Dror Paley. To właśnie on ostatecznie oceni stan Leona i podejmie decyzję o szczegółowym planie operacyjnym.

Ostatnio odwiedziliśmy też specjalistę, który delikatnie ścisnął ortezoprotezę syna, dzięki czemu funkcjonuje dużo lepiej. Powolutku, naprawdę malutkimi kroczkami, zaczyna chodzić! Dodatkowo ma podbity bucik w zdrowej nodze o 1,5 cm, aby w ortezoprotezie nóżki były równe. To małe zmiany, ale dla Leosia to ogromny krok naprzód.
Każda taka konsultacja i każdy, nawet najmniejszy postęp, to dla nas ogrom emocji – strachu, nadziei i wdzięczności, że Leon ma szansę być leczony przez najlepszych specjalistów na świecie. Wiemy, że przed nami bardzo trudna droga, ale wierzymy, że dzięki Waszemu wsparciu damy radę zawalczyć o sprawność naszego synka.
Dziękujemy, że jesteście z nami!
Rodzice
💙 Kochani, dzieje się coś pięknego! 💙
Dzięki Waszym ogromnym sercom udało się już przekroczyć połowę naszej zbiórki! To dla nas coś niewyobrażalnego – z całego serca DZIĘKUJEMY każdemu, kto wsparł Leosia, udostępnił zbiórkę i trzyma za niego kciuki.
Wasza pomoc realnie zmienia codzienność naszego synka. Na swoje pierwsze urodziny Leoś otrzymał swoją pierwszą ortezoprotezę oraz pionizator – sprzęty, które są ogromnym krokiem w stronę samodzielności. Każdego dnia dzielnie ćwiczy w domu, a trzy razy w tygodniu walczy na rehabilitacjach, pokazując nam, czym jest prawdziwa determinacja.

Przed nami kolejne wyzwania. Czekamy na termin rezonansu magnetycznego, który jest bardzo istotny przed planowaną pierwszą operacją.
Dzięki Wam Leoś jest coraz bliżej sprawności. Prosimy, zostańcie z nami do końca tej drogi i pomóżcie nam dotrzeć do celu. Razem możemy wszystko!
Dziękujemy, że jesteście częścią historii Leosia.
Rodzice
Opis zbiórki
Listopad 2024 miał być dla naszej rodziny jak wejście na parkiet w najważniejszym meczu – pełen radości, emocji i wzruszeń. Na świat przyszedł nasz wyczekiwany synek, Leoś. Już wtedy, gdy był w brzuchu, żartowaliśmy, do jakiego klubu koszykarskiego zapiszemy go jako pierwszego.
Koszykówka to nasz świat – pracujemy przy organizacji wydarzeń, jesteśmy sędziami, oddychamy tą dyscypliną. Marzyliśmy, że kiedyś wspólnie z nim usłyszymy dźwięk odbijającej się piłki i zobaczymy jego pierwszy dwutakt. Wiemy, że do zwycięstwa trzeba dobrej drużyny i sprawnego ciała. Życie napisało nam jednak bardzo trudny scenariusz, w którym przepisy gry dyktuje bezwzględny przeciwnik – wada rozwojowa.

Leoś urodził się ze znacznie krótszą prawą nóżką. Lekarze przewidują, że różnica długości może osiągnąć nawet 30 centymetrów. Skrócona kość udowa, skrócona kość piszczelowa, brak kości strzałkowej, zdeformowana stopa z trzema złączonymi paluszkami… Diagnoza: hemimelia strzałkowa – wada, która zabiera beztroskie dzieciństwo i odbiera szansę na normalny krok.
Wierzymy, że to nie wyrok, bo istnieją medyczne możliwości pozwalające na zminimalizowanie efektów schorzenia – są szansą na pełną sprawność naszego synka. Robimy, co w naszej mocy, by tę szansę wykorzystać. Ćwiczymy, rehabilitujemy, wzmacniamy mięśnie naszego dziecka, zapewniamy mu komfort rozwojowy. Rozpoczęliśmy najtrudniejszy mecz naszego życia! Wspierają nas lekarze, rehabilitanci, rodzina i przyjaciele.
Wciąż jednak nie jesteśmy w stanie udźwignąć kosztów kilku operacji i rehabilitacji pooperacyjnej. PROSIMY – DOŁĄCZ DO DRUŻYNY LEOSIA!

Pierwszy „mecz” – operacja SuperAnkle (planowany termin- czerwiec/sierpień 2026 roku). Koszt operacji i rehabilitacji pooperacyjnej – około 500 000 zł.
Pierwsza operacja to rekonstrukcja stopy, ustawienie jej w prawidłowej pozycji, uwolnienie przykurczu kolana oraz rozpoczęcie wydłużania kości piszczelowej. Dzień po operacji Leo wejdzie w żmudną rehabilitację, która potrwa wiele miesięcy i wymagać będzie naszej przeprowadzki do Warszawy. To dodatkowe koszty towarzyszące samej operacji.
Kolejne etapy - długa seria operacji – walka do ostatniej sekundy
Leosia czeka aż 5–6 operacji:
- ok. 2-2,5 roku życia wydłużanie kości piszczelowej i udowej
- 4–5 rok życia – kolejne wydłużanie kości udowej i piszczelowej
- następne zabiegi w wieku 8–9, 13–14 lat, a jeśli będzie trzeba – także później

To jak gra o mistrzostwo, tylko że stawką nie są medale – stawką jest sprawność i przyszłość naszego synka. Razem możemy dać Leosiowi szansę na ruch, na radość, na… pierwszy dwutakt. Zwinne, sprawne ciało to prawdziwy skarb. Nasz Leoś musi o ten skarb walczyć codziennie, zmagając się z trudnościami, wynikającymi z wady rozwojowej. Ten „mecz” o zdrowie naszego synka możemy wygrać tylko z Wami.
Wierzymy, że w tej nierównej walce nie będziemy sami. Że świat koszykarski, ale także każdy, komu bliskie jest zdrowie dziecka, stanie z nami w jednej drużynie. Leoś potrzebuje pomocy, by kiedyś móc stanąć na własnych nogach, zrobić pierwszy krok, pierwszy trucht, a my – byśmy mogli usłyszeć to najpiękniejsze: „Mamo, Tato, patrzcie! Umiem zrobić dwutakt!”
Prosimy, pomóż nam zawalczyć o tę przyszłość! Dla Leosia to gra o wszystko. PROSIMY – DOŁĄCZ DO DRUŻYNY,,GAANG LEOSIA”!
Rodzice Leosia

- Alicja127 zł
- Wpłata w ramach Stałej PomocyEwa Dawid50 zł
- Wpłata anonimowa200 zł
- Wpłata w ramach Stałej PomocyMartiX zł
- Wpłata w ramach Stałej PomocyDawaj mały!X zł
- Wpłata anonimowa100 zł