
Ratujemy sprawność Leona – guz mózgu sprawił mu już wystarczającą krzywdę❗️
Cel zbiórki: Leczenie i rehabilitacja, zakup ortez
Wpłać, wysyłając SMS
Przekaż 1,5% podatku
Przekaż 1,5% podatku
Stała pomoc
Tu może pojawić się Twoja Stała Pomoc.
Wspieraj co miesiącCel zbiórki: Leczenie i rehabilitacja, zakup ortez
Aktualizacje
Leo omal nie umarł! Pomocy!
Kochani, niestety nie mamy dla Was dobrych wiadomości. 6 grudnia, dokładnie w mikołajki, Leo dostał napadu padaczkowego nie do zatrzymania. Robiliśmy wszystko, aby go zabezpieczyć, niestety nie daliśmy rady i musieliśmy wezwać karetkę!
Czekanie było straszne. Po przyjeździe karetki napad cały czas trwał, lekarze podawali synkowi leki, ale nie pomagały. W karetce błagałam, aby zawieźli nas do Centrum Zdrowia Dziecka, bo tam są nasi lekarze i poczułam ulgę, gdy dojechaliśmy na miejsce.
Jednak atak cały czas trwał. Na SOR-ze podawano synowi lek za lekiem, ale nic nie działało. W końcu zszedł anestezjolog i zdecydował o wprowadzeniu syna w stan śpiączki, aby zatrzymać napad.
Najgorsze było dla mnie spojrzenie Leo. Jakby mnie widział, ale nie wiedział, co się dzieje. Jakby błagał o pomoc, a ja nie mogłam nic zrobić. Mogłam tylko czekać, aż napad minie. Ale tutaj nic nie mijało, a ja miałam wrażenie, że tracimy dziecko...

Wiedziałam, że zmiany, jakie zaszły w mózgu po tym napadzie, mogą być nieodwracalne. Po zrobieniu tomografu okazało się, że zastawka się zapadła. Niedługo później neurochirurg podszedł do mnie i poradził pożegnać się z Leo. Powiedział, że nie wiadomo, czy operacja się uda z powodu dużego obrzęku mózgu i czy lekarze będą w stanie wymienić zastawkę.
To był koszmar. Siedziałam przed drzwiami bloku operacyjnego o 4 nad ranem i modliłam się o tylko to, żeby Leo do nas wrócił. Kiedy lekarz wyszedł z sali, powiedział, że zrobił wszystko, co w jego mocy i że teraz decydująca będzie pierwsza doba.
Na szczęście Leo się obudził, choć pierwsze, co zobaczyliśmy, to, że ucieka głową, gdy do niego mówimy. Teraz jako rodzice musimy zrobić wszystko, żeby pomóc naszemu dziecku poradzić sobie ze skutkami napadu. Błagamy, wesprzyjcie nas w tej walce!
Rodzice Leo
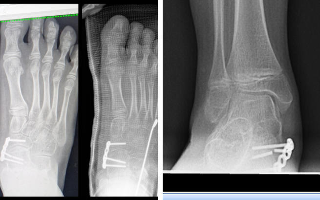
Dużo się działo❗️Ból jest nie do zniesienia❗️
Mieliśmy kontrolne RTG szkieletu, aby sprawdzić co i jak się zmieniło. Niestety, ułożenie miednicy oraz powiększona lordoza szyjna wymagają wsparcia nie tyle rehabilitacyjnego, ile zaopatrzonego w specjalistyczny sprzęt.
Podczas RTG wyszło, że śruba w stopie prawej się złamała, a płytka przemieściła, dlatego była potrzebna natychmiastowa operacja! Ponieważ minął dość krótki czas od wstawienia, Leon na 5 tygodniu znowu ma założony gips na prawej nodze i niestety jest dużo gorzej niż poprzednio.

Ból jest nie do opisania. Leoś przyjmuje bardzo silne leki przeciwbólowe, ale to pomaga na chwilę! Powróciły też napady padaczkowe, które nasilają ból – wykręcają syna na bok. Wiedzieliśmy, że będzie ciężko, ale nie sądziliśmy, że aż tak...

Niestety, to nie koniec. Płytka i śruby w stopie lewej zostały, ale będą do wyjęcia. Dlatego wiemy, że musimy często kontrolować stan syna – nie wiadomo, dlaczego stalowa śruba się złamała.
Czeka nas ciężka przeprawa i wiemy, że po zdjęciu gipsu będziemy mierzyć się ze strachem. Leoś będzie wymagał jeszcze większego wsparcia terapeutycznego, a wiąże się z kosztami. Prosimy, zostańcie z nami.
Rodzice
Potrzebne dalsze wsparcie❗️
Nowy rok przyniósł duże zmiany w funkcjonowaniu Leona oraz w jego podejściu do chodzenia.
Intensywne ćwiczenia i systematyczna rehabilitacja bardzo poprawiły jego samodzielność. Chodzenie stało się pewniejsze! Leon wciąż wymaga jednak pomocy przy pokonywaniu przeszkód jak schody czy nierówności.

Operacja poprawiła mocno ułożenie stóp oraz wzorzec prawidłowy, niestety przyniosła też skutki uboczne – u nas duże przykurcze. Do tego bóle mięśni, bolesne blizny, chodzenie bokiem przy braku ortez, duża wrażliwość sensoryczna...
Ale operacja była konieczna. Pewnie gdyby nie tak intensywna rehabilitacja, Leon nie byłby w takiej formie jak teraz. Ale to wiąże się z ogromnymi kosztami.
Leo jeszcze przez długi czas będzie wymagał takiej systematycznej pracy, dlatego nasza zbiórka jest bardzo ważna. Półtorej godziny ćwiczeń to koszt 230 do 360 zł w zależności od miejsca rehabilitacji, a teraz ćwiczy 5 dni w tygodniu.
Niestety, nie dajemy sami rady pokrywać takich kosztów. Dlatego prosimy was o wsparcie.
Rodzice
Opis zbiórki
Dziękujemy wszystkim, którzy zechcieli pomóc nam podczas poprzedniej zbiórki dla Leonka!
To dzięki Waszemu wsparciu Leo jest po operacji rekonstrukcji stóp metodą Evansa, przedłużeniu mięśni prawej łydki oraz ostrzyknięciu botuliną! Dziękujemy!
Teraz czeka nas długa i intensywna rehabilitacja. Przed nami ciężki czas, ale musimy dać radę. Z Wami to może się udać!
Nasza historia:
Synek urodził się zdrowy, ale to, co wydarzyło się kilka miesięcy później, na dobre zrujnowało jego zdrowie!
Stan naszego Leona pogorszył się niespodziewanie, z dnia na dzień. Po wykonaniu szczegółowych badań lekarze stwierdzili guza mózgu – zwojakoglejaka – oraz padaczkę objawową! Choć nowotwór udało się powstrzymać, skutki są bardzo dotkliwe!

W wyniku w sumie 3 operacji Leoś doznał prawostronnego niedowładu, który wymaga wieloletniej i systematycznej rehabilitacji. Doszło do porażenia nerwu twarzowego oraz oka po prawej stronie. Leoś cierpi na opóźnienie rozwoju. Jesteśmy pod stałą opieką lekarzy specjalistów, w tym neurologa i okulisty, ortodonty, ortopedy.

Dzisiaj Leo jest już po rekonstrukcji stóp. Efektem zabiegu jest rozluźnienie ostrzykiwanego mięśnia prawego biodra oraz prawej ręki, co nie było wcześniej zaplanowane, ale wyszło podczas analizy chodu i wizyty przedoperacyjnej z lekarzem.
Aby praca nie poszła na marne, synek potrzebuje intensywnej rehabilitacji ręki toksyną botulinową. Wymaga również nowych ortez do stóp i ręki. To wszystko wciąż narastające koszty, na które nie byliśmy w całości przygotowani.
Operacja to ogromny krok w walce o sprawność Leo, ale to wciąż zaledwie początek. Intensywna rehabilitacja zweryfikuje ostateczne efekty, dlatego bardzo prosimy, nie zostawiajcie nas teraz! Bądźcie dalej wsparciem, które poprowadzi naszego synka ku zdrowej, sprawnej przyszłości! Będziemy ogromnie wdzięczni za każdą podarowaną złotówkę!
Rodzice Leona

- Marta T200 zł
Leon jesteś mega dzielnym chłopakiem! Ćwicz dzielnie.
- 200 zł
- Wpłata anonimowa200 zł
- Andrzej100 zł
- Littlebiglove100 zł
🫶🏻
- Magdalena Borkowska100 zł
Dużo zdrowia Leo i rodzice