Zbiórka zakończona

27 lat walki o sprawność. Pomóż mi stanąć prosto na nogach!
Cel zbiórki: Dwuetapowa operacja rekonstrukcji stawu biodrowego oraz wydłużenia nogi
Zgłaszający zbiórkę:
Michał Czopek, 34 lata
Czechowice-Dziedzice, śląskie
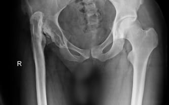
Stan po zakażeniu gronkowcem złocistym, czterech operacjach stawu biodrowego oraz dwóch etapach wydłużania kości udowej
Rozpoczęcie: 20 maja 2019
Zakończenie: 24 czerwca 2025
120 115 zł(31,32%)
Wsparły 1463 osoby
Przekaż 1,5% podatku
Przekaż 1,5% podatku
Numer KRS0000396361 Fundacja Siepomaga
Cel szczegółowy 1,5%0051342 Michał
Cel zbiórki: Dwuetapowa operacja rekonstrukcji stawu biodrowego oraz wydłużenia nogi
Zgłaszający zbiórkę:
Michał Czopek, 34 lata
Czechowice-Dziedzice, śląskie
Stan po zakażeniu gronkowcem złocistym, czterech operacjach stawu biodrowego oraz dwóch etapach wydłużania kości udowej
Rozpoczęcie: 20 maja 2019
Zakończenie: 24 czerwca 2025
Rezultat zbiórki
Drodzy Darczyńcy!
Jestem ogromnie wdzięczny za każdą, nawet najmniejszą pomoc z Waszej strony! Dodaliście mi sił w tej trudnej walce o sprawność, o samodzielność, o normalne życie bez bólu! Choć wiem, że przede mną jeszcze długa droga, to nie zamierzam się poddać. W tej chwili skupiam się na intensywnej rehabilitacji, która pomoże mi wzmocnić moje ciało. Dzięki Wam nie tracę nadziei, że czeka mnie lepsza przyszłość!
Dziękuję!
Michał
- Wpłata anonimowa100 zł
- MaSit20 zł
- Wpłata anonimowa20 zł
- Wpłata anonimowa100 zł
- Wpłata anonimowaX zł
- Wpłata anonimowa150 zł


