

Jego noga wciąż się nie zrasta! Pomóż w walce o sprawność!
Cel zbiórki: Operacja ortopedyczna, rehabilitacja z użyciem egzoszkieletu
Wpłać, wysyłając SMS
Przekaż mi 1,5% podatku
Przekaż mi 1,5% podatku
Cel zbiórki: Operacja ortopedyczna, rehabilitacja z użyciem egzoszkieletu
Opis zbiórki
Miłosz zawsze miał przed sobą jasny cel. Był bardzo ambitny i zdecydowany. Wiedział, czego chce i uczęszczał na wiele kursów na elektryka, związanych z fotowoltaiką, a nawet sam pracował przy montowaniu paneli. Niestety, jego pasja i plany w 2022 roku zostały okrutnie pokrzyżowane w jednej chwili.
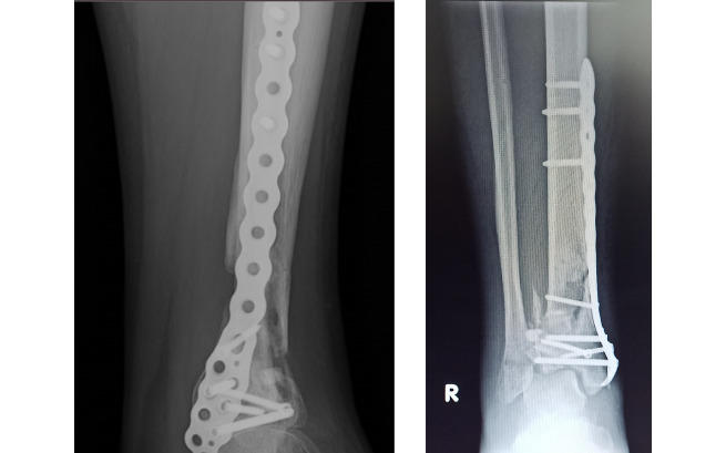
Tamtego dnia padał deszcz. Miłosz był w pracy i starał się zejść po drabinie. To trwało zaledwie sekundę. Poślizgnął się i spadł na ziemię z 10 metrów! Upadek z takiej wysokości spowodował u niego poważne złamanie kości piszczelowej prawej i uszkodzenie stawu skokowego.
Natychmiast przewieziono go do szpitala do Włocławka, gdzie spędził ponad tydzień na wyciągu. Cały czas towarzyszył mu ogromny ból i lęk o to, czy będzie mógł wrócić do sprawności, a ja zastanawiałam się, dlaczego to przytrafiło się właśnie nam.
Po operacji wystąpiło niestety mnóstwo komplikacji. Niewygojona szczelina złamania szerokości około 5,5 mm, nierówna powierzchnia stawowa piszczeli, ubytki kości…

Miłosz trafił na kolejną operację, jednak nie przyniosła ona efektów. Kość dalej nie chce się zrastać, a staw skokowy uległ jeszcze większej dekonstrukcji…
Lekarze nie dają mu większych szans na poprawę. Ale zostawienie kontuzji samej sobie tylko pogorszy sprawę. Miłosz ma poważne trudności z poruszaniem się, kuleje i odczuwa nawracające bóle nie tylko zranionej nogi, ale całego ciała. Zwłaszcza kręgosłupa.
Miłosz nie jest w stanie dalej rozwijać swojej kariery, ani nawet bawić się ze swoim 3-letnim synem. Każdego dnia cierpi przy najprostszych czynnościach. Ten widok łamie mi serce. Zrobiłabym wszystko, by mu pomóc, ale wiem, że nie jestem w stanie...
Obecnie nie stać nas na operację rekonstrukcji, która dałaby większą szansę na powrót do sprawności. Kolejną szansą są turnusy rehabilitacyjne, by pomóc Miłoszowi wzmocnić mięśnie i radzić sobie z bolesną codziennością.
Niestety, wysokie koszty operacji i turnusów sprawiają, że pomimo chęci, najbliżsi również nie są w stanie wesprzeć nas całkowicie!
Dlatego zwracam się z prośbą o wsparcie! Miłosz wciąż się nie poddaje! Nie pozwólmy, by jedno zdarzenie zrujnowało lata jego ciężkiej pracy!
Każda złotówka jest w tej sytuacji cenna!
Kamila i rodzice
- Wpłata anonimowa100 zł
- Wpłata anonimowaX zł
- Wpłata anonimowa50 zł
- Mariusz20 zł
- Wpłata anonimowaX zł