
PILNE❗️Przemka zabija jego własne ciało! Tylko operacja ocali jego życie!
Cel zbiórki: Ratujące życie leczenie operacyjne w Berlinie i transport medyczny
Organizator zbiórki:
Przemysław Dubert, 29 lat
Lusowo, wielkopolskie
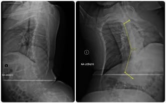
Desminopatia, postępująca skolioza kręgosłupa
Rozpoczęcie: 27 lipca 2020
Zakończenie: 13 grudnia 2020
17 630 zł(11,03%)
Wsparły 354 osoby
Spoczywaj w pokoju
Cel zbiórki: Ratujące życie leczenie operacyjne w Berlinie i transport medyczny
Organizator zbiórki:
Przemysław Dubert, 29 lat
Lusowo, wielkopolskie
Desminopatia, postępująca skolioza kręgosłupa
Rozpoczęcie: 27 lipca 2020
Zakończenie: 13 grudnia 2020
Przemek niestety nie doczekał operacji... Choć udało się pojechać do Niemiec na badania, choć lekarze chcieli pomóc, zabrakło czasu... Z ogromnym smutkiem przyjęliśmy wiadomość o jego odejściu. Stan Przemka nagle się pogorszył.
Rodzinie Przemka składamy najszczersze wyrazy współczucia z powodu ich straty. Nie tak powinna skończyć się ta historia... Nie tak...
[*]
- Wpłata anonimowa20 zł
- dks10 zł
- Wpłata anonimowa1000 zł
- Wpłata anonimowa150 zł
- Wpłata anonimowa50 zł
Dużo zdrowia!
- Wpłata anonimowa20 zł
