

Upadek z drabiny wywołał dramatyczne skutki zdrowotne! Przemysław walczy o sprawność!
Cel zbiórki: Leczenie i rehabilitacja
Wpłać, wysyłając SMS
Przekaż mi 1,5% podatku
Przekaż mi 1,5% podatku
Cel zbiórki: Leczenie i rehabilitacja
Opis zbiórki
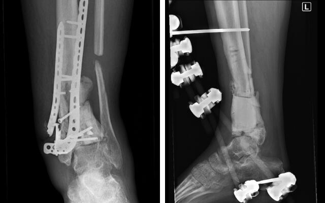
Mam na imię Przemysław i jesienią 2022 roku moje życie zmieniło się diametralnie. Z aktywnego, pełnego pasji człowieka stałem się osobą niepełnosprawną. Wszystko przez niespodziewany uraz...
Podczas prac domowych uległem poważnemu wypadkowi, spadając z drabiny. Konsekwencje były tragiczne – doznałem otwartego złamania kości piszczelowej, strzałki oraz kostki. Przeszedłem długotrwałe leczenie: cztery operacje, dwa przeszczepy kości, zastosowano również terapię podciśnieniową VAC. Niestety, kości nadal się nie zrastają!

Przede mną długa i kosztowna rehabilitacja, której potrzebuję, by znów móc normalnie chodzić i stanąć na nogi – dosłownie i w przenośni. Każdy dzień bez rehabilitacji to krok wstecz w walce o sprawność. Wszystkie zebrane środki wykorzystam na intensywną rehabilitację, konsultacje specjalistyczne i niezbędny sprzęt ortopedyczny.
Wsparcie z Waszej strony to dla mnie ogromna nadzieja i szansa na powrót do życia bez bólu i zależności od innych. Każda złotówka, każde udostępnienie ma znaczenie. Z góry dziękuję za Waszą pomoc!
Przemysław
- Wpłata anonimowa30 zł
- Wpłata anonimowa30 zł
- Marysia50 zł
- Leszek50 zł
- Leszek100 zł
- Wpłata anonimowa50 zł