
Piętno kalectwa zabiera mi radość życia. Bez pomocy stracę nogę...
Cel zbiórki: Ratująca nogę operacja biodra, kolana i kostki
Przekaż mi 1,5% podatku
Przekaż mi 1,5% podatku
Cel zbiórki: Ratująca nogę operacja biodra, kolana i kostki
Aktualizacje
Proszę Was o pomoc. Moją nogę lekarze chcą amputować!
Mam 20 lat, wkraczam w dorosłe życie. Kiedy byłam dzieckiem zawsze myślałam że zatańczę poloneza na studniówce niestety nie udało się, jestem dorosła i mój stan jest jeszcze gorszy niż wtedy kiedy miałam 6 lat.
Operacje które miły mi pomóc, wydłużyć nogę i umożliwić chodzenie bez kul zniszczyły moje biodro, kolano i kostkę. Chciałabym znów zginać kolano, a co najważniejsze nie czuć bólu w każdej możliwej pozycji. Marzę o tym żeby całe cierpienie jakie przeżyłam w dzieciństwie, by być w pełni sprawną, dorosłą osobą, nie było zmarnowane.

To moja ostatnia szansa. Lekarze w Europie powiedzieli mi, że najlepszym rozwiązaniem będzie usztywnienie lub amputacja nogi. To było by jak spełnienie najgorszego koszmaru. Dr Paley pokazał mi osoby, które operował, osoby z podobnymi problemami jak mój, dzisiaj chodzą, zginają kolano. To właśnie ten lekarz może mi pomóc, niestety jest to bardzo drogi zabieg, na który mnie nie stać.
Brak pieniędzy, to pewna amputacja mojej nogi dlatego proszę was o pomoc...
Opis zbiórki
Próbowałam już wszystkiego, walczyłam o szansę w Europie – nie udao się! Każdego dnia zastanawiam się, kiedy był ten pierwszy dzień, kiedy zdałam sobie sprawę, jak bardzo nie cierpię tej mojej nogi. Nie pamiętam, czy był to jeden dzień, czy dorastałam w tym przekonaniu, że jest coś nie tak, do momentu aż nagle spojrzałam w lustro? Nie pamiętam.

Za to wiem, jak jest dzisiaj. Czegokolwiek nie zrobię, jak bardzo bym się nie starała, zawsze będę oceniana przez pryzmat krótszej nogi. Zawsze, w każdej rozmowie pojawiała się będę nie jako Wiktoria, ale jako dziewczyna o kuli, z krótszą nogą, kulejąca. Gdy się urodziłam, moja noga była krótsza o 6 cm, miałam stopę końsko–szpotawą, ale byłam malutka, śliczna i nic poza tym się nie liczyło. Lekarze dawali mi szansę, bo małe dziecko to olbrzymie możliwości regeneracji, to wzrost, a ze wzrostem wspaniałe możliwości korygowania. Przez rok niczym mumia leżałam zagipsowana. Na szczęście już tego nie pamiętam, ale mogę sobie wyobrazić, jak czuje się zagipsowane dziecko, które nie może się ruszyć.
Teraz już czas na wspomnienia. Gdy miałam 6 lat, do ziemi brakowało mi już 12 cm nogi. Brakowało mi też placów zabaw, wygłupów, biegania z koleżankami i zabawy, bo przyszedł czas, by coś z tą moją nieszczęsną nogą zrobić. Zabieg przyniósł efekt, bo zyskałam 7 cm, tylko że nadal brakowało mi 5. Chciałam być taka sama jak inne dzieci, ale przeklęte 5 cm zapowiadało dalszą walkę.

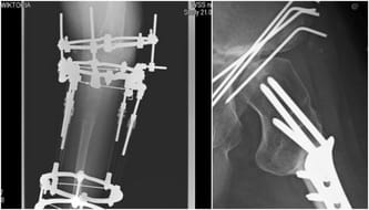
Co 2 lata na pół roku zakładany chirurgicznie, przerażający aparat Llizarowa. 2 lata wycięte z życia z nogą w urządzeniu, które straszyło swym wyglądem. Skutek odwrotny od zamierzonego. Co prawda nogę mam dzisiaj dłuższą, ale oberwało kolano. Staw po prostu nie wytrzymał takiej siły i gdy miałam 13 lat, zmuszona byłam przejść operację, ale proces był już nie do zahamowania. Każdy zabieg daje nadzieje, które im dłużej dojrzewają w człowieku, tym trudniej pogodzić się z tym, że nigdy się nie urzeczywistnią. Posypało się biodro. Ostatni staw, który w mojej nodze funkcjonował jako tako.
Do 14 roku życia poruszałam się o dwóch kulach. Koszmar! Wiecznie odciśnięte dłonie, bezradność w autobusie, upadające kule w sklepie podczas płacenia, odbierania telefonu. Gdybym miała pewność, że to na pewien czas, na chwilę. Ale nie miałam. Lekarze w kraju podjęli decyzje. Zniszczone kolano ze zwyrodnieniami 80-letniej osoby, wymaga endoprotezy – sztucznego stawu. Sztuczne kolano to jednak ryzyko, wielka niewiadoma i nauka chodzenia od nowa. Jaką mam pewność, że moja noga, która nie ma nawet kości strzałkowej, przyjmie protezę, przetrwa rehabilitację?
Mam 20 lat i nadal nie chcę wózka inwalidzkiego rozpatrywać w kategoriach przyszłości. W moim wieku marzenia są różne. Czasem jest to jakaś rzecz, innym razem wymarzone wakacje, a ja, odkąd pamiętam, marzę o tym, by samodzielnie chodzić, bez kuli, bez strachu i niepewności. Moja noga to zarazem mój największy problem, ogromne zmartwienie, które niosę przez życie. Wiem, że pewne rzeczy się nie zmienią, że nie założę ślicznych butów, nie pobiegnę na tramwaj, ale wiem też, że jest duża szansa na to, że pozbędę się mojej łatki – dziewczyny o kuli, która zawsze wychodzi wcześniej na autobus, która jest jedną z nas w momencie, gdy siedzi, lecz gdy wstajemy, idziemy, ona zostaje z tyłu, nie nadąża, jest już sama. W samotności przebiegła większa część mojego dotychczasowego życia, bo kto chciałby za mną czekać, dbać o to, czy nie przewrócę się podczas spaceru.
Ja też już nie chcę czekać, nie mogę już czekać. Krótsza noga wykończyła kolano, teraz poddaje się biodro. Tyle lat nie mogłam chodzić, biegać, ale mogłam siedzieć, teraz już nawet to sprawia mi ból. Dlaczego tak bardzo moje życie podporządkowane jest moim ograniczeniom, każdego dnia wstaję i zastanawiam się nad tym, czego dzisiaj nie dam rady zrobić, gdzie się mogę potknąć, na co nie zdążę a gdzie w ogóle lepiej się nie pchać. Cały dzień podporządkowany nodze i bólowi. Kiedy się zacznie, kiedy będzie już ciężko siedzieć. W szkole, na lekcjach, w parku na ławce?

Teraz nadziję dał mi najlepszy chirurg – ortopeda na swiecie – Dr Paley, ktry jako jedyny ze specjalistow, którzy widzieli moją nogę, widzi jeszcze jakąś szansę. Proszę o wsparcie, bo innej drogi do mojego celu nie ma. Jeśli wygram i spełnię swoje marzenia, zrobię wszystko, aby pokazać innym ludziom w mojej sytuacji to, że się da. Że całe życie można zmienić w krótkim czasie. Zostanę rehabilitantką, by pomagać ludziom? Nie! Zrobię to dla siebie, bo nie wyobrażam sobie większego szczęścia niż dawanie ludziom nadziei.
- Miłoszek i Marcysia20 zł
Powodzenia
- Wpłata anonimowa1 zł
- Wpłata anonimowa8,22 zł
- Wpłata anonimowa5 zł
- Wpłata anonimowa5 zł
Odwagi i wiary! Wszystko będzie dobrze! Dla Boga nie ma nic niemożliwego ;)
- Maciek15 zł