
Ta wada to śmiertelne zagrożenie❗️W walce o Jacka liczy się każdy dzień
Cel zbiórki: operacja korygująca wadę kręgosłupa, operacje ortopedyczne, zakup sprzętu
Przekaż 1,5% podatku
Przekaż 1,5% podatku
Cel zbiórki: operacja korygująca wadę kręgosłupa, operacje ortopedyczne, zakup sprzętu
Aktualizacje
Stan Jacka się pogarsza❗️Nie możemy czekać
Za nami operacja wyciągania drutów. Jacek właśnie dochodzi do siebie, a ja jeszcze nie ochłonęłam, a już ruszam do kolejnej walki o nadzieję na lepsze jutro dla mojego synka!
Przed nami najważniejszy etap leczenia: operacja kręgosłupa. To zabieg, który ratuje sprawność, ale też życie! Kolejne badania, wielkie przygotowania i niepewność, bo lekarze nie wykluczają, że przed główną operacją będzie trzeba przeprowadzić jeszcze jedną na rdzeniu kręgowym.
Jestem przerażona - przed nami maraton prowadzący przez kolejne gabinety lekarskie - konsultacje mają dać ostateczną odpowiedź na pytanie, czy przeprowadzenie operacji w Polsce będzie możliwe w najbliższym czasie.
Jeśli otrzymamy odmowę, będziemy musieli szukać pomocy za granicą, a wtedy koszty leczenia mogą wzrosnąć nawet kilkukrotnie!
Przede mną jedna z najtrudniejszych decyzji dotycząca wyboru lekarza i ośrodka, w którym zostanie przeprowadzona operacja. Lekarze wiedzą, że przypadek Jacka jest bardzo skomplikowana, a ja mogę zaufać tylko najlepszym specjalistom. Nie mogę pozwolić na to, by na drodze do zdrowia i życia mojego synka stanęły rosnące koszty!
Błagam! POMOCY! Jesteś naszą jedyną nadzieją na ratunek. Nie mogę patrzeć jak moje dziecko cierpi. Nie mogę czekać aż stanie się najgorsze...
Mama
Opis zbiórki
PILNE! Sytuacja pogarsza się dramatycznie. Zagrożenie rośnie, bo skrzywiony kręgosłup ogranicza pracę płuc i innych organów Jacka. Życie naszego synka jest w śmiertelnym niebezpieczeństwie. Pomocy!
Operacje, strach i wielka niewiadoma związana z przyszłością Jacka. Wiedzieliśmy, że prosząc o pomoc najlepszych specjalistów uda nam się w dużej mierze uratować sprawność synka i stworzyć mu nowe perspektywy. Niestety, ostatnie działania były tylko wstępem do tragicznej rzeczywistości, w której dominującym uczuciem jest strach. Każdego dnia obserwuje oddech Jacka, zastanawiam się, czy jest gorzej, czy tak samo jak wczoraj. Najbardziej jednak przeraża mnie moment, w którym tchu mogłoby mu zabraknąć, a jeśli nie zareaguję na czas, to może się to wydarzyć w bardzo bliskiej przyszłości.
Ostatnie wyprawy na operacje wiązały się z ogromnym stresem. Właściwie do ostatniego momentu nie byliśmy pewni, czy uda się uzbierać niezbędne środki, a do tego dołączył jeszcze strach o powodzenie podejmowanych przez lekarzy wyzwań związanych z leczeniem. Na szczęście, leczenie stóp, przebiegło niemalże zgodnie z planem. Jedyna komplikacja to złamanie uda, spowodowane tym, że Jacek ma bardzo słabe kości. Złamanie wymagało pilnej interwencji lekarzy, w ramach zabezpieczenia synkowi założono 5 drutów. Niebawem czeka nas ich operacyjne usunięcie. Przy tej okazji odbędzie się zabieg zwiększający zakres ruchu w kolanie do 90 stopni.

Nie zdążyliśmy na dobre złapać oddechu po serii operacji stóp, a już czekała nas kolejna wizyta w klinice. Emocje w takich momentach sięgają zenitu, ale już oczekiwanie na przyjście Jacka na świat pokazało nam, że obawy będą na stałe wpisane w naszą rzeczywistość.
Niestety, w najgorszych wizjach, żadne z nas nie spodziewało się, że choroba wytoczy najcięższe działa i zada synkowi cios powodując ogromne zagrożenie!
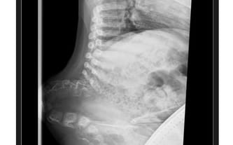
Postępujące skrzywienie kręgosłupa powoduje, że tułów niebezpiecznie się skraca, co powoduje, że rosnące organy niebezpiecznie naciskają na płuca. Już na tym etapie, lekarze potwierdzili, że płuca mają o połowę mniej miejsca niż to przewidziane u zdrowego dziecka w tym wieku. Taki ucisk to prosta droga do niewydolności oddechowej.

Cały czas zachowuję czujność, obserwuję reakcje i zachowania Jacka w obawie przed najgorszym. Teraz jednak nie możemy odpuścić, bo walka toczy się o najwyższą stawkę - życie Jacka! Potrzebujemy pilnej operacji, natychmiast! Niestety, zabieg, zabezpieczenie ortopedyczne i niezbędne konsultacje, specjalistyczny transport medyczny to ogromne koszty. Szczególnie że pierwsza operacja to tylko wstęp - w planie będą kolejne… Suma wszystkich wydatków może wynieść ponad pół miliona złotych!

Aktualnie kręgosłup Jacka wygląda właśnie tak, jak prezentuje zdjęcie. Sytuacja pogarsza się z dnia na dzień.
Nie wyobrażam sobie tej kwoty, ale operacje muszą odbywać się regularnie, by skrzywienie się nie pogłębiało, a organizm był bezpieczny. By Jacek mógł zdrowo rosnąć, nie czując przy tym rosnącego bólu, dyskomfortu podczas jedzenia, zmęczenia podczas siedzenia. Nie wyobrażam sobie tego, by zaistniała sytuacja, trwałe wpłynęła na możliwości jego rehabilitacji i samodzielnego poruszania.... Niewydolność oddechowa może spowodować, że nawet na wózku inwalidzkim nie będzie mógł być samodzielny. W tym momencie jego ciało jest dla niego największym zagrożeniem...
Błagam o pomoc! Proszę o Wasze wsparcie, bo to jedyna nadzieja na ratunek. Przed trwałym kalectwem. Przed postępującą chorobą. Przed śmiercią spowodowaną niemożliwością złapania oddechu. Nie mogę biernie przyglądać się jak cierpi moje dziecko i z każdym dniem coraz bardziej traci siły.
Patrzę na jego zdjęcia, kiedy był jeszcze maleńkim dzieckiem. Wtedy też drżałam o jego przyszłość. Jednak kilka lat temu, szanse były znacznie większe, a my mogliśmy liczyć na pomoc specjalistów. Teraz za ratunek musimy zapłacić ogromną cenę. A ja mimo, że gotowa jestem zrobić dla niego wszystko to jednak wiem, że to za mało. Tym razem moja miłość i poświęcenie nie zagwarantują, że moje dziecko zostanie uratowane. Ty jesteś nadzieją dla mnie i całej naszej rodziny!
____
Zbiórkę można wspierać biorąc udział w licytacjach prowadzonych na stronie: Licytacja charytatywna dla Jacusia (otwiera nową kartę)
Codzienną walkę małego Wojownika można śledzić na dedykowanej stronie na Facebooku: Jacek Wasiński mały wojownik (otwiera nową kartę)
____
Walka o zdrowie Jacka w mediach:
Rodzice nie łapią oddechu pomiędzy OPERACJAMI. Jacuś może nie złapać go wcale! (otwiera nową kartę)
Liczy się każda złotówka. 2,5-letni Jacuś z Opola walczy o szansę na normalne życie (otwiera nową kartę)
- Wpłata anonimowa156,62 zł
- Box.com Polska393 zł
Dużo zdrowia od zespołu Box.com w Polsce.
- Wpłata anonimowa150 zł
6,69 zł
#jacusiowabanda zamyka zbiórkę💛💛💛