
Kości kruche jak porcelana...
Cel zbiórki: Leczenie i rehabilitacja
Przekaż 1,5% podatku
Przekaż 1,5% podatku
Cel zbiórki: Leczenie i rehabilitacja
Aktualizacje
Natalia po operacji! – Zbieram na dalsze leczenie
Witajcie!
Jestem już po wspomnianym zabiegu – odbył się 22 czerwca.
Przyznam, że długo nie wierzyłam w cuda, ale one jednak się zdarzają. Dzięki Waszemu zaangażowaniu otrzymałam nie tylko specjalistyczną pomoc, ale i nieocenione wsparcie oraz wiele miłych słów!
Zabieg, który polegał na wzmocnieniu (wiązką drutów gwintowanych) pękniętego biodra, skutkował dodatkowo wydłużeniem krótszej nogi! Na ten moment pozostaje mi czekać na wizytę kontrolną, na której zostanie podjęta rozmowa na temat kuracji hiperbarycznej. Czeka mnie również wizyta w Uniwersyteckim Szpitalu Klinicznym w Łodzi, na której być może zostanie podjęta zmiana leczenia pod kątem gęstości kości.
Zbiórka trwa nadal, ponieważ cały czas potrzebuję Waszego wsparcia. Pozdrawiam Was i życzę tyle szczęścia, ile życzycie mi.
Natalia
Nieprzewidziana operacja❗️Pomóż Natalii❗️
Niestety musiałam powiększyć pasek zbiórki. Nie kwalifikuję się do rehabilitacji, na którą zbierałam. Muszę przejść nieprzewidzianą operację!
Koszt to aż 18 tysięcy złotych! Na operację z NFZ musiałabym czekać 2,5 roku w kolejce. Ja nie mogę czekać.
Mam pękniętą kość, która w każdej chwili może się złamać. Z wadą, którą posiadam, istnieje duże prawdopodobieństwo wylądowania na wózku inwalidzkim... Dlatego tak ważny jest czas!

Powyżej zdjęcie, na którym widać pogłębienie szpotawości biodra lewego, co za tym idzie, noga staje się krótsza. Aktualnie czekam na konsultacje w Łodzi z panią profesor, po której ma być wdrożone leczenie osteoporozy zastrzykami, które zakwalifikują mnie do zabiegu.
Bardzo proszę Cię o pomoc!
Natalia
Opis zbiórki
Nikt już nie chce mnie operować. Nikt nie chce podjąć się rehabilitacji. Przeszłam 30 operacji, a to niestety nie powinien być koniec.
O mojej chorobie rodzice dowiedzieli się przypadkiem, gdy miałam 3,5 roku. Biegłam przez pole i wpadłam w dziurę. Wtedy pierwszy raz złamałam kość udową. W szpitalu po serii badań okazało się, że to genetyczna łamliwość kości. W Szpitalu Specjalistycznym w Pile przechodziłam liczne operacje składania kości na śruby.
Niestety przez wielokrotne złamania i osłabienia miejsc pooperacyjnych, lewa noga stawała się coraz słabsza, co spowodowało skrócenie kończyny aż o 10 cm. Złamania z przemieszczeniem kończyły się leżeniem na wyciągach. Zdarzało się, że obie nogi były w gipsie jednocześnie. Najgorzej wspominam czas, gdzie przez prawie 6 miesięcy nie rozstawałam się z gipsem. Każde potknięcie, czy upadek kończy się złamaniem. Jednak przy pomocy profesora z Poznania, przy zmianie leczenia z blach i śrub na pręty Rusha i mojej długotrwałej walce, w wieku 12 lat o własnych siłach stanęłam sama na nogach!

Szans na całkowite wyleczenie nie dawano mi nigdy, jednak w okresie dojrzewania żyłam nadzieją, że choroba ustępuje. Takie były też rokowania. Niestety tak się nie stało. W liceum skręciłam pierwszy raz kolano, zerwałam więzadło, którego operacyjnie z moją wadą nie można wyleczyć. Niedługo po tym skręciłam drugie kolano. Aktualnie chodzę w stabilizatorach, które najprawdopodobniej zostaną ze mną do końca życia.
Żyłam nadzieją, że już nic gorszego nie może się przydarzyć. Jednak codzienność jest krucha jak moje kości. W 2019 roku upadając, złamałam kręg w kręgosłupie. Przez źle wykonaną operację codziennie przeszywa mnie niewyobrażalny ból.

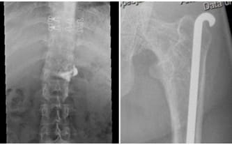
Na RTG kręgosłupa widać dużą ilość cementu wylanego poza obszar kręgosłupa. Z kolei na drugim zdjęciu widać czubek pręta Rusha. Niestety, nastąpiła szpotawość biodra lewego, co skutkuje stanem zapalnym w obrębie pręta. Wiąże się to z codziennym, ogromny bólem. Do kolejnych problemów dochodzą zmiany zwyrodnieniowe w kręgosłupie. Lekarze rozkładają ręce…
Moje życie to seria operacji. Przeszłam już 30 na lewą nogę, 3 na prawą, jedną na kręgosłup. Do tego co pół roku do momentu aż przestałam rosnąć, miałam wymieniane pręty pod pełną narkozą. Rokowania są przytłaczające. Potrzebuję pilnej rekonstrukcji więzadła w kolanie, wymiany pręta, ingerencji w źle wykonaną operację na kręgosłup, rehabilitacji. Lekarze nie chcą mnie już operować. Za duża odpowiedzialność.

W grudniu skończę 24 lata, pracuję na 1⁄2 etatu, posiadam rentę. Staram się być jak najbardziej samodzielną osobą, jednak leczenie i rehabilitacja, których potrzebuję, są bardzo kosztowne. Nie wystarcza mi środków na opłacanie wszystkich wydatków związanych z moją chorobą. Stąd mój apel o Twoją pomoc...
Natalia
- Miłosz Gryta600 zł
Licytacja
- Wpłata anonimowa100 zł
- Monika20 zł
- Ola S120 zł
- Wpłata anonimowa20 zł
- Wpłata anonimowaX zł